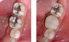
case-studies Case #6 An old Amalgam filling was replaced with a Ceramic crown (Cerec). It took only 1 hour to finish. Cerec crowns are beautiful and strong.They are 100% natural material.February 23, 2024/by Rich https://sunnyvaledentalspecialty.com/wp-content/uploads/2018/08/image1-1.jpg 240 328 Rich https://sunnyvaledentalspecialty.com/wp-content/uploads/2017/03/logo.png Rich2024-02-23 12:35:502024-05-02 11:10:09Case #6