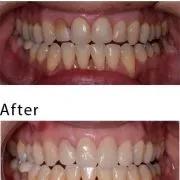
case-studies Case #7 Upper 4 old crowns were replaced with Cerec, e max crowns. It took 3 hours and everything was completed in a same day. They are beautiful and very strong.February 22, 2024/by Rich https://sunnyvaledentalspecialty.com/wp-content/uploads/2018/08/blog-img2.jpg 400 328 Rich https://sunnyvaledentalspecialty.com/wp-content/uploads/2017/03/logo.png Rich2024-02-22 12:36:022024-05-02 11:10:16Case #7