DENTAL CROWNS & BRIDGES
Serving San Jose, Sunnyvale, Santa Clara, Palo Alto, Mountain View, Saratoga, Los Altos, & Campbell, California
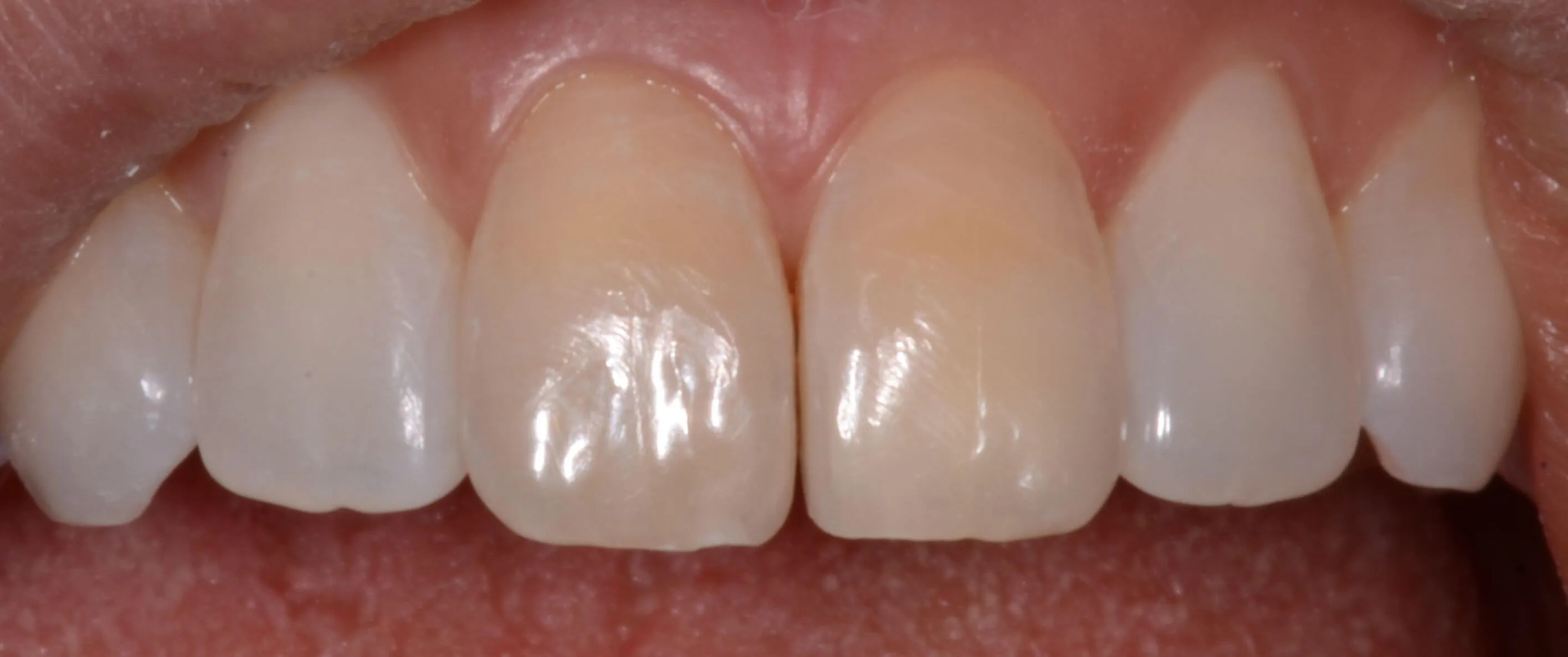
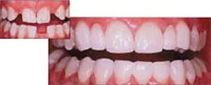
California Dental Specialty Group specializes in prosthodontic care including customized design and shading for dental crowns and bridges as a part of the extensive dental specialty services that we offer to our patients. Dr. Sung Hong is a highly experienced and board certified Prosthodontist and Implant Dentist.






