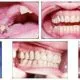
A 55 year old man lost two upper anterior teeth because of periodontal disease. Two single tooth-replacement implant crowns were made for him. Because they are not connected together he can floss between each tooth.
A 55 year old man lost two upper anterior teeth because of periodontal disease. Two single tooth-replacement implant crowns were made for him. Because they are not connected together he can floss between each tooth.
Case #8