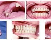
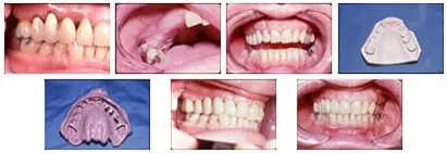
A 58 year old woman lost her upper left four teeth because of periodontal disease. A temporary partial denture was placed immediately after the extractions. After four months, three implants were placed. After eleven months, a four unit porcelain fixed crown and bridge were made for her.



