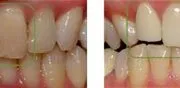
Patient fell down and the upper 3 teeth were damaged. Two teeth were restored the same day with ceramic crowns (Cerec). One tooth was restored with resin. The photo was taken after 3 weeks.
Patient fell down and the upper 3 teeth were damaged. Two teeth were restored the same day with ceramic crowns (Cerec). One tooth was restored with resin. The photo was taken after 3 weeks.
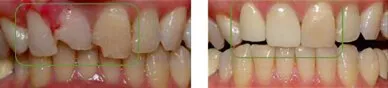
Case #2