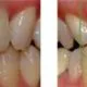
Gingival tissue and upper 4 front teeth were adjusted esthetically. Front 4 teeth were restored with ceramic crowns (Cerec).
Gingival tissue and upper 4 front teeth were adjusted esthetically. Front 4 teeth were restored with ceramic crowns (Cerec).
Case #1