CASE STUDIES
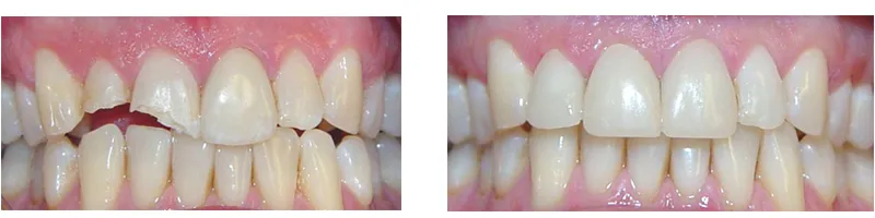
The case studies below illustrate a variety of procedures and results achieved for patients of the California Dental Specialty Group.
The case studies below illustrate a variety of procedures and results achieved for patients of the California Dental Specialty Group.





