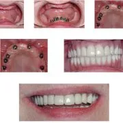
case-studies Case #1 This patient had a hard time with her removable dentures for more than 10 years. Now she is very happy with implant-supported fixed bridges.February 28, 2024/by Rich https://sunnyvaledentalspecialty.com/wp-content/uploads/2018/08/blog8-1.jpg 550 670 Rich https://sunnyvaledentalspecialty.com/wp-content/uploads/2017/03/logo.png Rich2024-02-28 12:25:512024-05-02 14:25:54Case #1