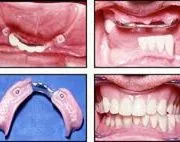
On the day the work was completed, this sixty year old man had corn on-the-cob for the first time in twenty years. He was so happy he cried. His life has changed much for the better, dating and eating out.
On the day the work was completed, this sixty year old man had corn on-the-cob for the first time in twenty years. He was so happy he cried. His life has changed much for the better, dating and eating out.
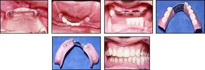
Case #13